Advertisement

Loculated Pleural Effusion Radiology Ct : Intrapleural Fat Fluid Level A Unique Sign In Chest Imaging / Malignant pleural effusion, lymphangitis carcinomatosa:

Loculated Pleural Effusion Radiology Ct : Intrapleural Fat Fluid Level A Unique Sign In Chest Imaging / Malignant pleural effusion, lymphangitis carcinomatosa:. Pleural effusions are a common medical problem with more than 50 recognised causes including disease local to the pleura or underlying lung, systemic conditions, organ dysfunction and drugs.1 pleural effusions occur as a result of increased fluid formation and/or reduced fluid resorption. Individual patient characteristics (eg, loculated vs circumferential, recurrent pericardial effusion, need for pericardial biopsy and location of pericardial effusion) and local practice patterns aid in deciding the optimal method of drainage. Learn about the symptoms & causes of pleural effusions and pleural mesothelioma. In patients with symptomatic malignant pleural effusions with nonexpandable lung, failed pleurodesis, or loculated effusion, we suggest the use of ipcs over chemical pleurodesis. Posterior effusion, loculated, empyema, ultrasound, parapneumonic effusion, streptococcus milleri:

Posterior effusion, loculated, empyema, ultrasound, parapneumonic effusion, streptococcus milleri: It is usually symptomatic and is commonly associated with a malignant cause.20 the diagnosis of a malignant pleural effusion is discussed in the guideline on the investigation of a unilateral pleural effusion. Subpulmonic effusions (also known as subpulmonary effusions) are pleural effusions that can be seen only on an erect projection. However, ct can help distinguish between a pleural effusion and a pleural empyema (see pleural effusion vs pleural empyema ). The precise pathophysiology of fluid accumulation varies according to underlying aetiologies.

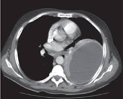
37 Year Old Woman With A History Of Rheumatoid Arthritis Presenting With Non Resolving Bilateral Effusions And Chest Pain Case 35 Emergency Radiology Coffee Case Book
37 Year Old Woman With A History Of Rheumatoid Arthritis Presenting With Non Resolving Bilateral Effusions And Chest Pain Case 35 Emergency Radiology Coffee Case Book from static.cambridge.org
34 the fluid may accumulate due to overproduction from diseased pleura, obstruction of lymphatic channels, or atelectasis of adjacent lung. Help for veterans · speak to a doctor · free book on mesothelioma Malignant pleural effusion, lymphangitis carcinomatosa: The precise pathophysiology of fluid accumulation varies according to underlying aetiologies. It is associated with significant morbidity and mortality. Malignant pleural effusion is the second most common cause of an exudative pleural effusion and the most common cause in patients over 60 years of age. Help for veterans · speak to a doctor · free book on mesothelioma Individual patient characteristics (eg, loculated vs circumferential, recurrent pericardial effusion, need for pericardial biopsy and location of pericardial effusion) and local practice patterns aid in deciding the optimal method of drainage.

In patients with symptomatic malignant pleural effusions with nonexpandable lung, failed pleurodesis, or loculated effusion, we suggest the use of ipcs over chemical pleurodesis.

Ultrasound findings are relevant for pleural infection as in heavily septated or loculated effusions, the biochemical results can be different in the discrete areas, so can give falsely reassuring results. Malignant pleural effusion, lymphangitis carcinomatosa: In patients with symptomatic malignant pleural effusions with nonexpandable lung, failed pleurodesis, or loculated effusion, we suggest the use of ipcs over chemical pleurodesis. Rather than layering laterally and blunting of the costophrenic angle, the pleural fluid lies almost exclusively betw. Nov 28, 2018 · pericardial fluid drainage can be performed by percutaneous catheter drainage or open surgical approach. The parietal pericardium (arrow) clearly separates the loculated pericardial effusion (∗) from the pleural effusion (p). 34 the fluid may accumulate due to overproduction from diseased pleura, obstruction of lymphatic channels, or atelectasis of adjacent lung. 30 effusions are also sometimes referred to as sonographically complex, which is an echogenic effusion with or without septations. The precise pathophysiology of fluid accumulation varies according to underlying aetiologies. R hydropneumothorax, r pleura mass (mpm), mesotheliomaasbestos: Individual patient characteristics (eg, loculated vs circumferential, recurrent pericardial effusion, need for pericardial biopsy and location of pericardial effusion) and local practice patterns aid in deciding the optimal method of drainage. Help for veterans · speak to a doctor · free book on mesothelioma Pleural effusions are a common medical problem with more than 50 recognised causes including disease local to the pleura or underlying lung, systemic conditions, organ dysfunction and drugs.1 pleural effusions occur as a result of increased fluid formation and/or reduced fluid resorption.

Subpulmonic effusions (also known as subpulmonary effusions) are pleural effusions that can be seen only on an erect projection. Posterior effusion, loculated, empyema, ultrasound, parapneumonic effusion, streptococcus milleri: Malignant pleural effusion is the second most common cause of an exudative pleural effusion and the most common cause in patients over 60 years of age. Help for veterans · speak to a doctor · free book on mesothelioma Rather than layering laterally and blunting of the costophrenic angle, the pleural fluid lies almost exclusively betw.

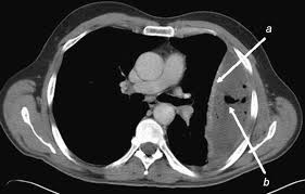
Figure 1 From Primary Pleural Synovial Sarcoma A Rare Cause Of Hemorrhagic Pleural Effusion In A Young Adult Semantic Scholar
Figure 1 From Primary Pleural Synovial Sarcoma A Rare Cause Of Hemorrhagic Pleural Effusion In A Young Adult Semantic Scholar from d3i71xaburhd42.cloudfront.net
Malignant pleural effusion is the second most common cause of an exudative pleural effusion and the most common cause in patients over 60 years of age. Nov 28, 2018 · pericardial fluid drainage can be performed by percutaneous catheter drainage or open surgical approach. Rather than layering laterally and blunting of the costophrenic angle, the pleural fluid lies almost exclusively betw. Learn about the symptoms & causes of pleural effusions and pleural mesothelioma. 34 the fluid may accumulate due to overproduction from diseased pleura, obstruction of lymphatic channels, or atelectasis of adjacent lung. 30 effusions are also sometimes referred to as sonographically complex, which is an echogenic effusion with or without septations. However, ct can help distinguish between a pleural effusion and a pleural empyema (see pleural effusion vs pleural empyema ). Learn about the symptoms & causes of pleural effusions and pleural mesothelioma.

Learn about the symptoms & causes of pleural effusions and pleural mesothelioma.

Help for veterans · speak to a doctor · free book on mesothelioma Posterior effusion, loculated, empyema, ultrasound, parapneumonic effusion, streptococcus milleri: R hydropneumothorax, r pleura mass (mpm), mesotheliomaasbestos: Ultrasound findings are relevant for pleural infection as in heavily septated or loculated effusions, the biochemical results can be different in the discrete areas, so can give falsely reassuring results. Help for veterans · speak to a doctor · free book on mesothelioma Nov 28, 2018 · pericardial fluid drainage can be performed by percutaneous catheter drainage or open surgical approach. Malignant pleural effusion, lymphangitis carcinomatosa: Learn about the symptoms & causes of pleural effusions and pleural mesothelioma. Pleural effusions are a common medical problem with more than 50 recognised causes including disease local to the pleura or underlying lung, systemic conditions, organ dysfunction and drugs.1 pleural effusions occur as a result of increased fluid formation and/or reduced fluid resorption. The precise pathophysiology of fluid accumulation varies according to underlying aetiologies. In patients with symptomatic malignant pleural effusions with nonexpandable lung, failed pleurodesis, or loculated effusion, we suggest the use of ipcs over chemical pleurodesis. The parietal pericardium (arrow) clearly separates the loculated pericardial effusion (∗) from the pleural effusion (p). Subpulmonic effusions (also known as subpulmonary effusions) are pleural effusions that can be seen only on an erect projection.

Subpulmonic effusions (also known as subpulmonary effusions) are pleural effusions that can be seen only on an erect projection. Posterior effusion, loculated, empyema, ultrasound, parapneumonic effusion, streptococcus milleri: It is usually symptomatic and is commonly associated with a malignant cause.20 the diagnosis of a malignant pleural effusion is discussed in the guideline on the investigation of a unilateral pleural effusion. Pleural effusions are a common medical problem with more than 50 recognised causes including disease local to the pleura or underlying lung, systemic conditions, organ dysfunction and drugs.1 pleural effusions occur as a result of increased fluid formation and/or reduced fluid resorption. Learn about the symptoms & causes of pleural effusions and pleural mesothelioma.

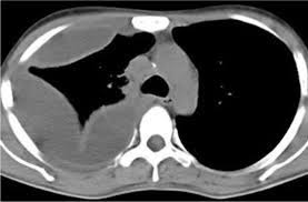
Parapneumonic Effusion Loculated Radiology Case Radiopaedia Org
Parapneumonic Effusion Loculated Radiology Case Radiopaedia Org from prod-images-static.radiopaedia.org
Ultrasound findings are relevant for pleural infection as in heavily septated or loculated effusions, the biochemical results can be different in the discrete areas, so can give falsely reassuring results. The parietal pericardium (arrow) clearly separates the loculated pericardial effusion (∗) from the pleural effusion (p). Help for veterans · speak to a doctor · free book on mesothelioma Rather than layering laterally and blunting of the costophrenic angle, the pleural fluid lies almost exclusively betw. Pleural effusions are a common medical problem with more than 50 recognised causes including disease local to the pleura or underlying lung, systemic conditions, organ dysfunction and drugs.1 pleural effusions occur as a result of increased fluid formation and/or reduced fluid resorption. It is associated with significant morbidity and mortality. 30 effusions are also sometimes referred to as sonographically complex, which is an echogenic effusion with or without septations. Help for veterans · speak to a doctor · free book on mesothelioma

Learn about the symptoms & causes of pleural effusions and pleural mesothelioma.

Nov 28, 2018 · pericardial fluid drainage can be performed by percutaneous catheter drainage or open surgical approach. It is usually symptomatic and is commonly associated with a malignant cause.20 the diagnosis of a malignant pleural effusion is discussed in the guideline on the investigation of a unilateral pleural effusion. Help for veterans · speak to a doctor · free book on mesothelioma Learn about the symptoms & causes of pleural effusions and pleural mesothelioma. The parietal pericardium (arrow) clearly separates the loculated pericardial effusion (∗) from the pleural effusion (p). Malignant pleural effusion, lymphangitis carcinomatosa: Rather than layering laterally and blunting of the costophrenic angle, the pleural fluid lies almost exclusively betw. Individual patient characteristics (eg, loculated vs circumferential, recurrent pericardial effusion, need for pericardial biopsy and location of pericardial effusion) and local practice patterns aid in deciding the optimal method of drainage. The precise pathophysiology of fluid accumulation varies according to underlying aetiologies. Malignant pleural effusion is the second most common cause of an exudative pleural effusion and the most common cause in patients over 60 years of age. 34 the fluid may accumulate due to overproduction from diseased pleura, obstruction of lymphatic channels, or atelectasis of adjacent lung. Ultrasound findings are relevant for pleural infection as in heavily septated or loculated effusions, the biochemical results can be different in the discrete areas, so can give falsely reassuring results. Subpulmonic effusions (also known as subpulmonary effusions) are pleural effusions that can be seen only on an erect projection.

It is associated with significant morbidity and mortality loculated pleural effusion. Learn about the symptoms & causes of pleural effusions and pleural mesothelioma.

Posting Komentar

0 Komentar